Chest X ray HMD versus other disorders
- Introduction...
- 1. Learning object...
- 2. Normal neonatal...
- 3. Indications for...
- 4. HMD...
- 5. HMD...
- 6. X-ray of HMD...
- 7. Typical X-ray f...
- 8. Pneumonia...
- 9. MAS...
- 11. TTNB...
- 12. Pneumothorax...
- 13. Congenital Dia...
- 14. Key messages...
![]() |
![]() |
Introduction
DR. SHIV SAJAN SAINI
MD, DM (Neonatology)
Assistant Professor
Department of Pediatrics
PGIMER, Chandigarh
1. Learning objectives
► Understand the characteristics of the normal X-ray
► X-ray pictures of common neonatal respiratory morbidities
2. Normal neonatal X-ray
► Neonatal CXRs are all AP films taken in supine position
► The chest is more cylindrical and translucent
► Ribs more horizontal compared to children and adults
► Thymus is prominent and CT ratio can be up to 0.6
► Diaphragm is upto 6th rib anteriorly & 8th rib posteriorly
► More is hyperinflation and less is underaeration
3. Indications for X-ray
► For diagnosis of respiratory distress
► To check position of endotracheal tube, umbilical arterial
and venous lines, and chest tubes
► To prove clinical suspicion of air leak
4. HMD

5. HMD

6. X-ray of HMD

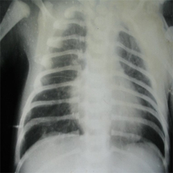
7. Typical X-ray finding of RDS/ HMD
► Decreased lung volume
► Reticulogranular pattern
► Ground glass opacification
► Air bronchograms
► White out lungs
8. Pneumonia
► Patchy alveolar or interstitial infiltrates
► Consolidation is rarely seen in newborn
► Normal to increased lung volumes with areas of air trapping

9. MAS

11. TTNB
► Prominent hilum with streaky shadows
► Prominent interlobar fissures
► Small pleural effusion
► Mild cardiomegaly
► Normal to increased lung volume

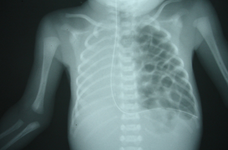
12. Pneumothorax
► Pleural air with no or decreased lung markings (hyperlucent)
► Collapsed lung
► Shift of mediastinum to opposite side

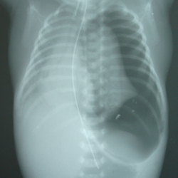
13. Congenital Diaphragmatic Hernia
► Left hemithorax filled with cyst like loops of bowel
► Mediastinal shift to right side

14. Key messages
► Identification of RDS on x-ray will help us in correctly
identifying newborn who needs surfactant
► Other respiratory disorders can be identified with the help
of x-rays


